Nerve Block Gallery - Median Nerve Injection
Caption
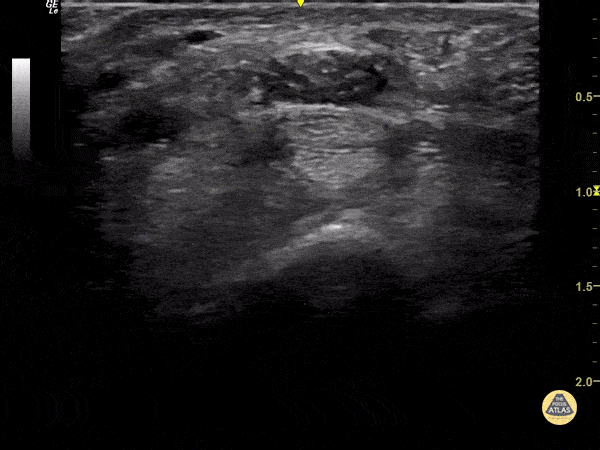
55 y/o female with recurrent carpal tunnel symptoms not improved with conservative management. Benefits of US guidance include vessel avoidance, and needle placement for surrounding median nerve with steroid solution. Dr. Magner