Nerve Block Gallery - Interscalene Block - High Speed
Caption
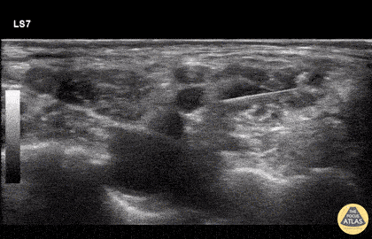
80 y/o intoxicated female found down with L shoulder dislocation. In order to avoid opiates/sedatives, inter-scalene block was done to facilitate reduction. http://highlandultrasound.com/interscalene-block - for more on technique Dr. Forrest Andersen - Denver Health Emergency Medicine