Bowel-GI - Gastric Volvulus

← Back to List

Bowel-GI - Gastric Volvulus

Caption

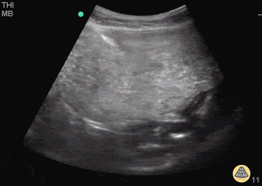
80 y/o demented M patient comes in with complaint of abdominal distention, noticed by caregivers. Patient "not keeping anything down." POCUS was done to visualize the "distention." Fluid is seen in what was presumably the stomach, moving forward and backward, not passing the pylorus. The distal bowel did not contain similar fluid. CT demonstrated gastric volvulus and GI was consulted. Dr. Bryan Jarrett - Kings County/SUNY Downstate Emergency Medicine

Source

https://www.thepocusatlas.com/bowel


Metadata