Nerve Block Gallery - Ulnar Nerve Block

← Back to List

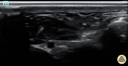
Nerve Block Gallery - Ulnar Nerve Block

Caption

Ulnar nerve block done in plane. Provides excellent anesthetic for isolated hand injuries. In this case, allowed for faster time to repair and avoided use of ketamine sedation. Inject in place and use small amounts of lidocaine to make sure you are in the correct space before bathing the nerve with the entire amount of anesthetic. Julia Brant, Pediatric Emergency Medicine Fellow @pedipocus

Source

https://www.thepocusatlas.com/nerve-blocks-gallery


Metadata