Nerve Block Gallery - Ulnar Nerve Block for Boxer's Fracture

← Back to List

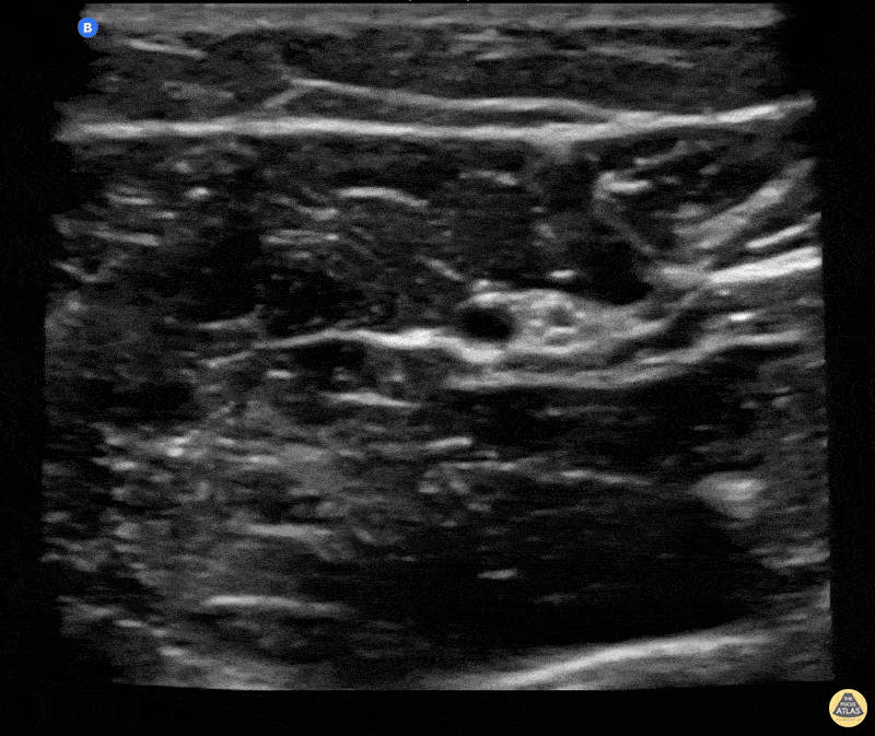
Nerve Block Gallery - Ulnar Nerve Block for Boxer's Fracture

Caption

37 yo female presented with hand pain and deformity after punching a wall. XR and clinical exam showed displaced and rotated 5th MC fracture which required reduction prior to splinting. Ulnar nerve block was performed with needle in plane under US guidance. Nerve is located ulnar to the ulnar artery in the mid forearm and needle path is from lateral to medial. Following the block, reduction performed without any pain and patient was discharged with hand surgery follow up on outpatient basis with near anatomic positioning following reduction and splinting. Miguel F. Agrait MD CAQ-SM, Tatiana Vargas PGY-3 Centro Médico Episcopal San Lucas, Ponce PR

Source

https://www.thepocusatlas.com/nerve-blocks-gallery


Metadata