COVID 19 Lung US Disease Progression - Day 20

← Back to List

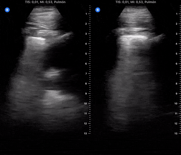
COVID 19 Lung US Disease Progression - Day 20

Caption

Day 20 after #COVID diagnosis. Almost recovered. SpO2 96%. #POCUS update: Significant improvement, remains thick pleura & B-lines. Yesterday tested NEGATIVE. I will try update a lung scan every week. FINALLY, I am returning to the TRENCHES. @yaletung

Source

https://www.thepocusatlas.com/new-gallery


Metadata