COVID 19 Lung US Disease Progression - Day 19

← Back to List

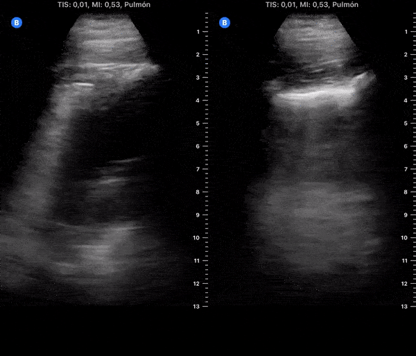
COVID 19 Lung US Disease Progression - Day 19

Caption

Day 19 after #COVID diagnosis. More cough & weakness. No fever or dyspnea. SpO2 97%. #POCUS update: Subpleural consolidation got bigger on left lower lobe. Yesterday started levofloxacin (bacterial super infection?). @yaletung

Source

https://www.thepocusatlas.com/new-gallery


Metadata