Bowel-GI - Small Bowel Obstruction

← Back to List

Bowel-GI - Small Bowel Obstruction

Caption

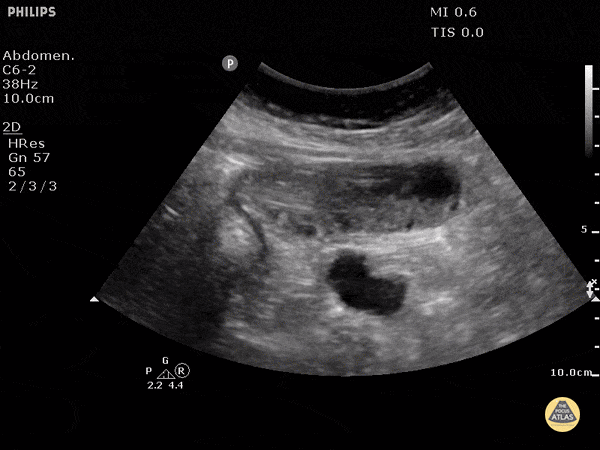
This image demonstrates a dilated loop of small bowel with to and fro movements of stool contents. POCUS has been shown to have a sensitivity of 0.91 and specificity of 0.84 for this indication in a single trial when EM residents performed the study. This is compared to 0.02 and 0.67 for an old fashioned KUB. Jang TB, et al. Bedside ultrasonography for the detection of small bowel obstruction in the emergency department. J Emerg Med. 2011. 28(8):676-678. Submitted by Dr. Justin Bowra et al.

Source

https://www.thepocusatlas.com/bowel


Metadata