COVID 19 Lung US Disease Progression - Day 18

← Back to List

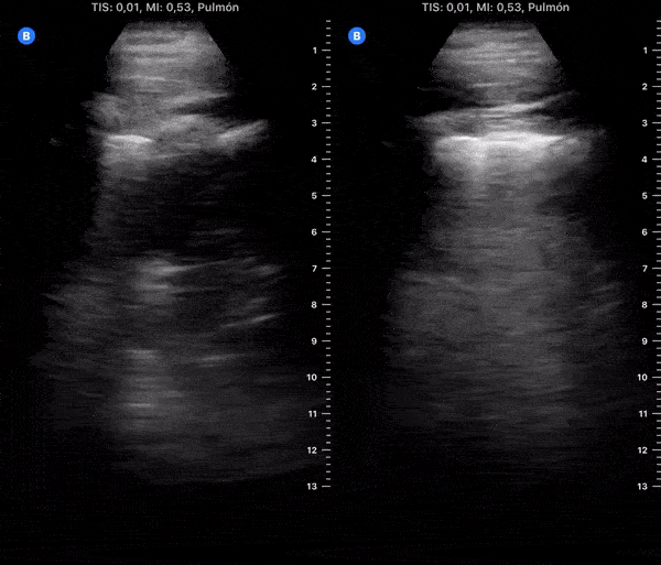
COVID 19 Lung US Disease Progression - Day 18

Caption

Day 18 after #COVID diagnosis. Similar cough. No fever or dyspnea. SpO2 97%. #POCUS update: slight worsening. Bilateral thickened pleura & B-lines, subpleural consolidation reappeared. On HCQ (D14). Waiting to re-test on friday. @yaletung

Source

https://www.thepocusatlas.com/new-gallery


Metadata