COVID 19 Lung US Disease Progression - Day 17

← Back to List

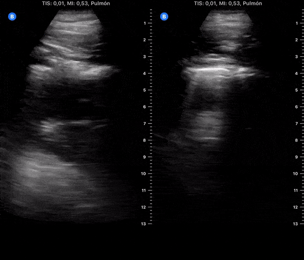
COVID 19 Lung US Disease Progression - Day 17

Caption

Day 17 after #COVID diagnosis. Less cough, nausea & more appetite, energy. No fever or dyspnea. SpO2 97%. #POCUS update: right side resolved, left lateral & lower less thickened pleura & B-lines. @yaletung

Source

https://www.thepocusatlas.com/new-gallery


Metadata