COVID 19 Lung US Disease Progression - Day 16

← Back to List

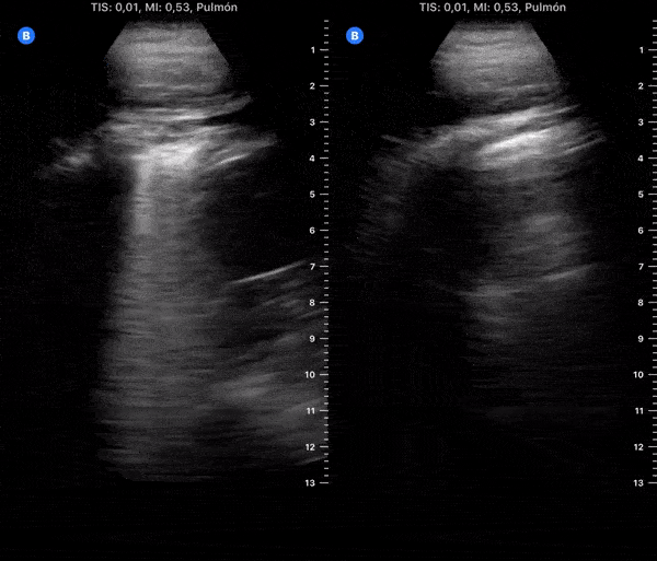
COVID 19 Lung US Disease Progression - Day 16

Caption

Day 16 after #COVID diagnosis. Similar dry cough, but with good energy & high spirit. No fever or dyspnea. SpO2 97%. #POCUS update: Improved, less thickened pleura & less bilateral B-lines. @yaletung

Source

https://www.thepocusatlas.com/new-gallery


Metadata