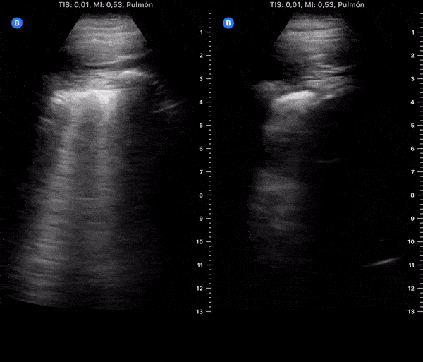
COVID 19 Lung US Disease Progression - Day 15

← Back to List

COVID 19 Lung US Disease Progression - Day 15

Caption

Day 15 after #COVID diagnosis. Similar cough, less weakness. Diarrhea due azithromycin. No fever or shortness of breath. SpO2 97%. #POCUS update: Similar to yesterday, thick pleura & bilateral scattered B-lines. @yaletung

Source

https://www.thepocusatlas.com/new-gallery


Metadata