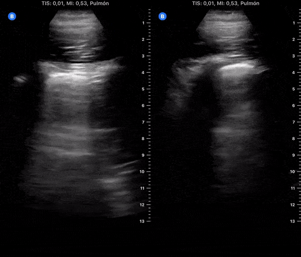
COVID 19 Lung US Disease Progression - Day 14

← Back to List

COVID 19 Lung US Disease Progression - Day 14

Caption

Day 14 after #COVID diagnosis. Less symptoms - cough, weakness, nausea, light headache. Regaining appetite/smell. No fever/dyspnea. SpO2 98%. #POCUS update: Improving - thick pleura & Bilateral scattered B-lines, no effusion. @yaletung

Source

https://www.thepocusatlas.com/new-gallery


Metadata