COVID 19 Lung US Disease Progression - Day 13

← Back to List

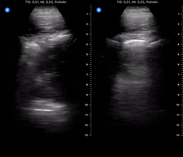
COVID 19 Lung US Disease Progression - Day 13

Caption

Day 13 after #COVID diagnosis. Lesser cough, weakness, nausea & diarrhea. No dyspnea or red flag symptoms. No fever. SpO2 97%. #POCUS update: 2 subpleural consolidations (resolving), thick pleura & bilateral scattered B-lines. @yaletung

Source

https://www.thepocusatlas.com/new-gallery


Metadata