COVID 19 Lung US Disease Progression - Day 12

← Back to List

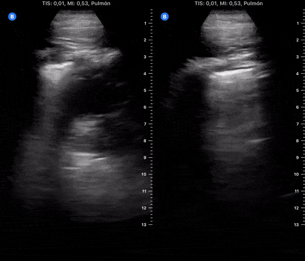
COVID 19 Lung US Disease Progression - Day 12

Caption

Day 12 after #COVID diagnosis. Better, main symptoms cough, nausea & diarrhea. No dyspnea or red flag symptoms. No fever. SpO2 98%. #POCUS update: Subpleural consolidations resolving, thick pleura & B-lines, small effusion. @yaletung

Source

https://www.thepocusatlas.com/new-gallery


Metadata