COVID 19 Lung US Disease Progression - Day 11

← Back to List

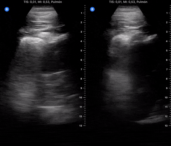
COVID 19 Lung US Disease Progression - Day 11

Caption

Day 11 after #COVID diagnosis. Less tired & cough, unable to endure small efforts. No dyspnea or red flag symptoms. No fever. SpO2 98%. #POCUS update: Bilateral subpleural consolidations, thick pleura & focal B-lines. @yaletung

Source

https://www.thepocusatlas.com/new-gallery


Metadata