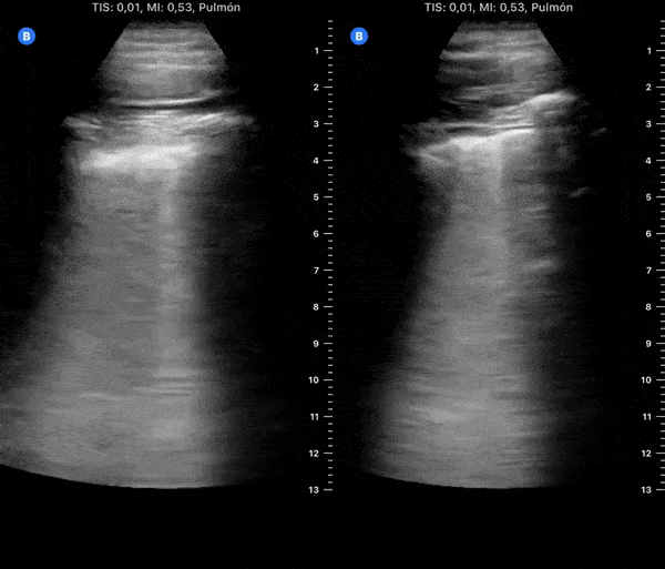
COVID 19 Lung US Disease Progression - Day 10

← Back to List

COVID 19 Lung US Disease Progression - Day 10

Caption

Day 10 after #COVID diagnosis. Less tired, but more cough, ageusia & anosmia. No dyspnea or red flag symptoms. No fever. SpO2 97%. #POCUS update: Right, Left lower & lateral with thick pleural line & focal B-lines. @yaletung

Source

https://www.thepocusatlas.com/new-gallery


Metadata