COVID 19 Lung US Disease Progression - Day 9

← Back to List

COVID 19 Lung US Disease Progression - Day 9

Caption

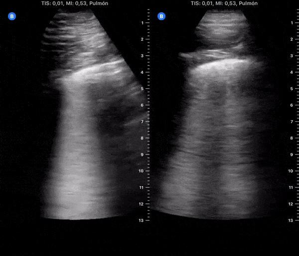
Day 9 after #COVID diagnosis. Feeling slightly better. More cough. No dyspnea or red flag symptoms. No fever. SpO2 97%. #POCUS update: similar to yesterday. Left lower & lateral with thick pleural line & focal B-lines. @yaletung

Source

https://www.thepocusatlas.com/new-gallery


Metadata