COVID 19 Lung US Disease Progression - Day 8

← Back to List

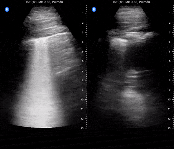
COVID 19 Lung US Disease Progression - Day 8

Caption

Day 8 after #COVID diagnosis. Less Cough & similar weakness, still no dyspnea or red flag symptoms. No fever. SpO2 96%. #POCUS update: Right resolved. Left lower lobe much better. Left lateral appeared new focal B-lines. @yaletung

Source

https://www.thepocusatlas.com/new-gallery


Metadata