COVID 19 Lung US Disease Progression - Day 7

← Back to List

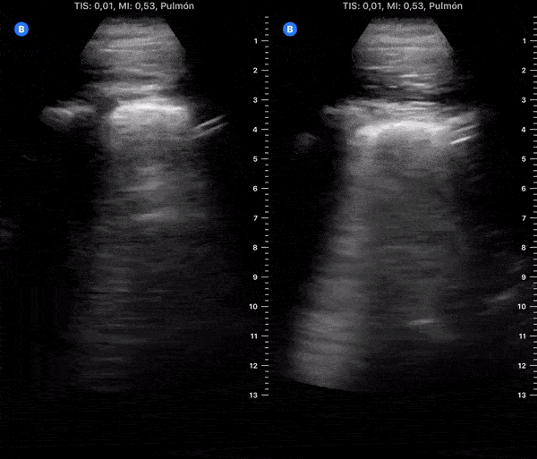
COVID 19 Lung US Disease Progression - Day 7

Caption

Day 7 after #COVID diagnosis. Cough & weakness got worse (again), still no dyspnea. No fever. SpO2 96%. #POCUS update: similar to yesterday - thick pleural line, b-lines & consolidations tend to resolve. @yaletung

Source

https://www.thepocusatlas.com/new-gallery


Metadata