COVID 19 Lung US Disease Progression - Day 6

← Back to List

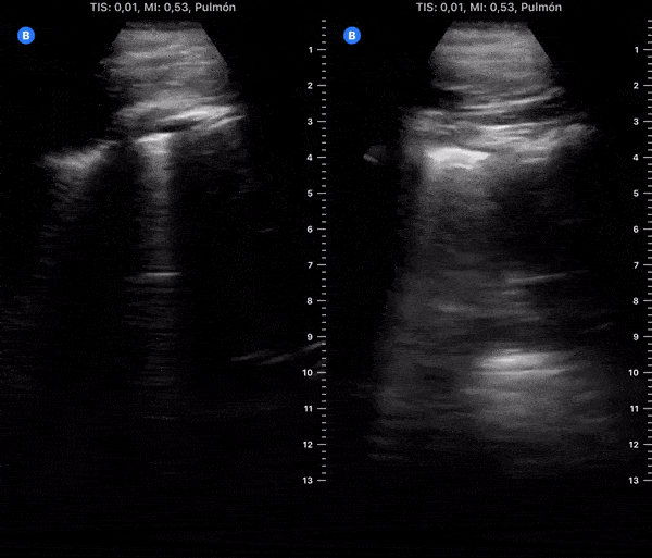
COVID 19 Lung US Disease Progression - Day 6

Caption

Day 6 after #COVID diagnosis. Less cough, bit tired, still no dyspnea. No fever. Oxygen saturation 98%. #POCUS update: thick pleural line, b-lines and subpleural consolidations tend to resolve. Significant lung improve from yesterday. @yaletung

Source

https://www.thepocusatlas.com/new-gallery


Metadata