COVID 19 Lung US Disease Progression - Day 5

← Back to List

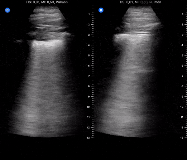
COVID 19 Lung US Disease Progression - Day 5

Caption

Day 5 after #COVID diagnosis. Less cough & tired, still no dyspnea/chest pain. #POCUS update: Effusion resolved, as subpleural consolidations spread bilaterally on both posterior lower lobes. @yaletung

Source

https://www.thepocusatlas.com/new-gallery


Metadata