COVID 19 Lung US Disease Progression - Day 4

← Back to List

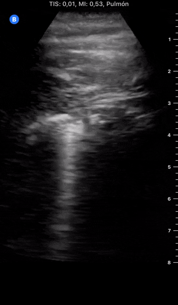
COVID 19 Lung US Disease Progression - Day 4

Caption

Day 4 after #COVID diagnosis. More cough & tiredness (very badly), still no dyspnea/chest pain. #POCUS update: Right side on resolution, Left side a more thickened pleural line + 2 subpleural consolidations. @yaletung

Source

https://www.thepocusatlas.com/new-gallery


Metadata