COVID 19 Lung US Disease Progression - Day 3

← Back to List

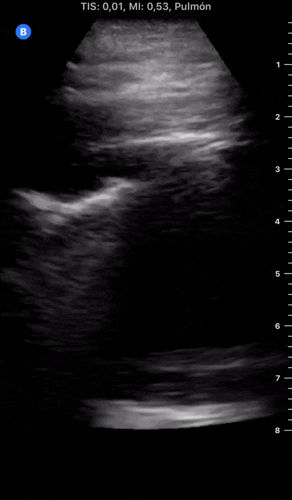
COVID 19 Lung US Disease Progression - Day 3

Caption

Day 3 after #COVID diagnosis. No sore throat/headache. Yesterday was cough day, still no shortness of breath/chest pain. Diarrhea started, lucky cough got better. #POCUS update: similar effusion, seems less thickened pleural line + no b-lines (PLAPS). @yaletung

Source

https://www.thepocusatlas.com/new-gallery


Metadata