OB Dating Atlas - Week 22 - Biparietal Diameter (BPD)

← Back to List

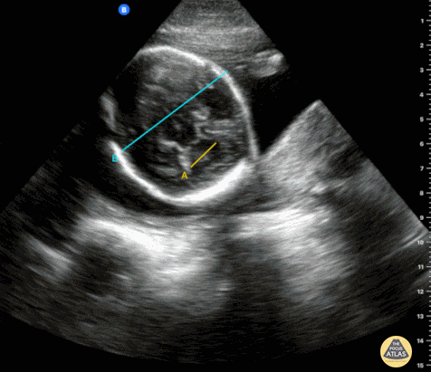
OB Dating Atlas - Week 22 - Biparietal Diameter (BPD)

Caption

An 18-year-old G1P0 with an LMP of “a few months ago” and no prior prenatal care presents to initiate care. She had a positive home UPT two months ago. On abdominal ultrasound, there is positive cardiac activity and positive fetal movement. The biparietal diameter measures 5.4 cm consistent with a 22w0d IUP. General Rules: Used to estimate gestational age starting at 14w0d Both measurements should be taken in the transverse plane at the level of the of thalami and cavum septum pellucidum with no cerebellum in view BPD: measure from the outer edge (closest to the probe) of parietal bone to inner edge on the opposite side (farthest away from u/s probe) Accuracy3: ± 7 - 12 d

Source

https://www.thepocusatlas.com/ob-dating-atlas


Metadata