Bowel-GI - Duodeno-Biliary Fistula

← Back to List

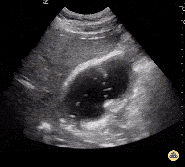
Bowel-GI - Duodeno-Biliary Fistula

Caption

Tiny bubbles of air float up to the top of the gallbladder. This finding prompted additional work-up and an ultimate diagnosis of duodeno-biliary fistula. Rachel Haney, MD - Massachusetts General Hospital

Source

https://www.thepocusatlas.com/bowel


Metadata