OB Dating Atlas - Week 15 - Biparietal Diameter (BPD)

← Back to List

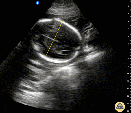
OB Dating Atlas - Week 15 - Biparietal Diameter (BPD)

Caption

A 26-year-old G4P3 with an unknown LMP and no prior prenatal care presents with vaginal spotting. She had a positive home UPT 3 weeks. On abdominal ultrasound, the biparietal diameter measures 2.79 cm consistent with a 15w0d IUP. General Rules: Used to estimate gestational age starting at 14w0d Both measurements should be taken in the transverse plane at the level of the of thalami and cavum septum pellucidum with no cerebellum in view BPD: measure from the outer edge of parietal bone to inner edge on the opposite side Accuracy3: ± 7 - 12 d

Source

https://www.thepocusatlas.com/ob-dating-atlas


Metadata