Colorized Atlas - Inferior Vena Cava and Hepatic Vein - Colorized

← Back to List

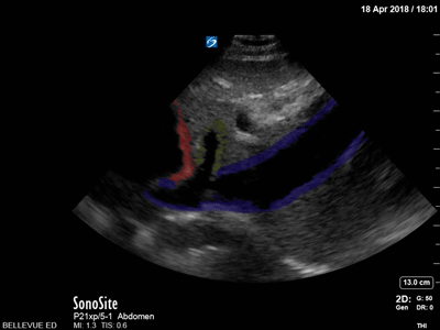
Colorized Atlas - Inferior Vena Cava and Hepatic Vein - Colorized

Caption

Inferior Vena Cava and Hepatic Vein Red: Heart, Yelow: Hepatic vein, Blue: Inferior vena cava Images: Dr. Lindsay Davis, Dr. Hannah Kopinski. Image Editing: Michael Amador and Dr. Matthew Riscinti

Source

https://www.thepocusatlas.com/colorized-atlas


Metadata