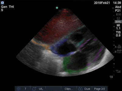
Colorized Atlas - Subxiphoid - Colorized 2

← Back to List

Colorized Atlas - Subxiphoid - Colorized 2

Caption

Subxiphoid Red: Liver. Orange: Diaphragm. Blue: Right Atrium, Teal: Right Ventricle, Green: Left Atrium,Purple: Left Ventricle Images: Dr. Lindsay Davis, Dr. Hannah Kopinski. Image Editing: Michael Amador and Dr. Matthew Riscinti

Source

https://www.thepocusatlas.com/colorized-atlas


Metadata