Colorized Atlas - Subxiphoid - Colorized 1

← Back to List

Colorized Atlas - Subxiphoid - Colorized 1

Caption

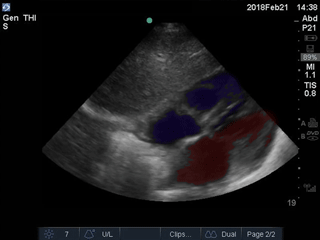
Subxiphoid view Red: Lumen of left atrium and ventricle, Blue: Lumen of right atrium and ventricle Images: Dr. Lindsay Davis, Dr. Hannah Kopinski. Image Editing: Michael Amador and Dr. Matthew Riscinti

Source

https://www.thepocusatlas.com/colorized-atlas


Metadata