Colorized Atlas - Parasternal Short Axis - Colorized

← Back to List

Colorized Atlas - Parasternal Short Axis - Colorized

Caption

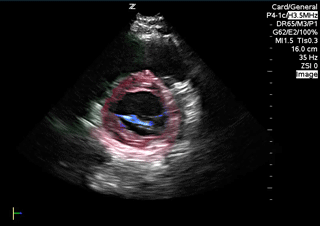
Parasternal short axis Red: Left ventricle, Blue: Mitral valve, Green: Right ventricle Images: Dr. Lindsay Davis, Dr. Hannah Kopinski. Image Editing: Michael Amador and Dr. Matthew Riscinti

Source

https://www.thepocusatlas.com/colorized-atlas


Metadata