Colorized Atlas - Parasternal Long Axis - Colorized - Complex

← Back to List

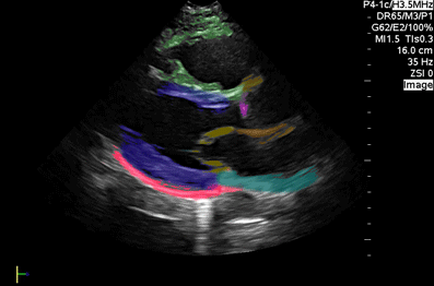
Colorized Atlas - Parasternal Long Axis - Colorized - Complex

Caption

Parasternal Long Axis (detailed) Blue: Left ventricle, Green: Right ventricle, Orange: Aortic outflow Pink: Aortic valve; Yellow: Mitral valve; Red: Pericardium; Light orange: Left atrium Images: Dr. Lindsay Davis, Dr. Hannah Kopinski. Image Editing: Michael Amador and Dr. Matthew Riscinti

Source

https://www.thepocusatlas.com/colorized-atlas


Metadata