Vascular - Popliteal Compression Test

← Back to List

Vascular - Popliteal Compression Test

Caption

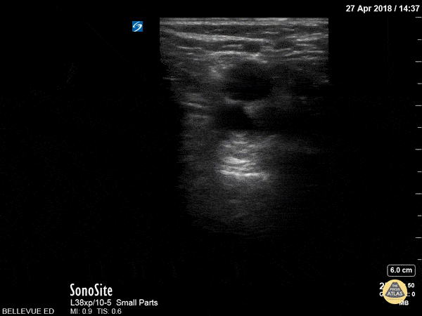
This clip demonstrates compression of the popliteal vein moving distally from the popliteal fossa down the calf as is often done to assess for DVT. The non-compressible vessel deep and medial to the popliteal vein is the popliteal artery. Hannah Kopinksi and Dr. Lindsay Davis - NYU Emergency Medicine

Source

https://www.thepocusatlas.com/dvt


Metadata