Vascular - IVC and Hepatic Vein

← Back to List

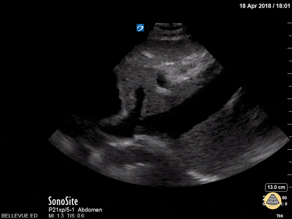
Vascular - IVC and Hepatic Vein

Caption

In this longitudinal subxiphoid view, we see the liver in the center and beating heart to the left of the screen. The IVC in long axis empties into the right atrium. A hepatic vein is seen draining into the IVC just prior to its confluence with the heart. Hannah Kopinksi and Dr. Lindsay Davis - NYU Emergency Medicine

Source

https://www.thepocusatlas.com/dvt


Metadata