Vascular - Radial Artery Thrombus (Pre/Post TPA)

← Back to List

Vascular - Radial Artery Thrombus (Pre/Post TPA)

Caption

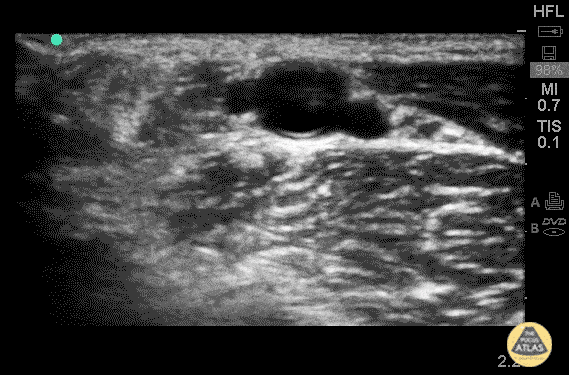
The images above are from a middle-aged woman who presented to the emergency room as a stroke code. She complained of paresthesias in her right arm and had decreased sensation to light touch. It was noted that this arm was colder than the left, so after she returned from head CT, POCUS was performed of her brachial artery. There is a non-compressible hyperechoic structure inside the brachialartery, consistent with the clinical picture of an arterial embolus. Given the urgency of stroke treatment, these images were obtained after the stroke team had administered tenecteplase. Vascular surgery consult was made aware of the findings and repeat images taken an hour after presentation and administration of tenecteplase were obtained at bedside with the vascular surgery consult. These images show near resolution of the embolus. Dr. Ben Kaufman

Source

https://www.thepocusatlas.com/dvt


Metadata