Vascular - Color Extravasation

← Back to List

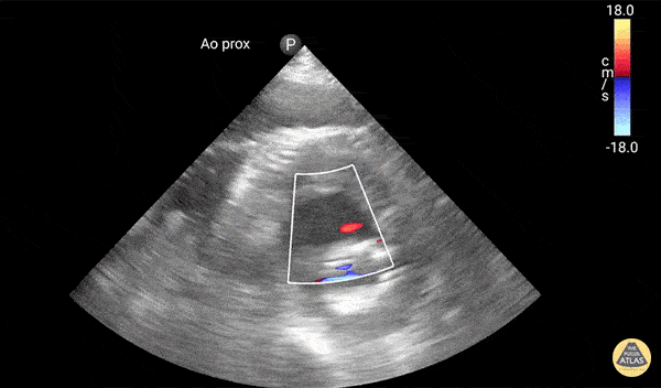
Vascular - Color Extravasation

Caption

Active extravasation through endograft into false lumen. Known chronic endoleak, but CT 30 minutes prior to this study showed no active extravasation or impending rupture. Keep an open mind when reassessing your patients, and try not to anchor too much on prior results or others' opinions! Dr. Elias Jaffa

Source

https://www.thepocusatlas.com/dvt


Metadata