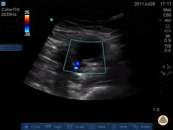
Vascular - Pseudoaneurysm - "Thar She Blows"
Caption
WCUME 2017 Submission for "Best POCUS" Thought this was an abscess and almost cut into it. POCUS saved me. Russell Horowitz, MD - Northwestern
WCUME 2017 Submission for "Best POCUS" Thought this was an abscess and almost cut into it. POCUS saved me. Russell Horowitz, MD - Northwestern