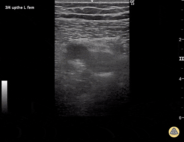
Vascular - DVT - Superficial Femoral Vein

← Back to List

Vascular - DVT - Superficial Femoral Vein

Caption

The superficial femoral artery (pulsatile, to the left) and superficial femoral vein are visualized. As pressure is applied to the probe, the artery becomes oblong but the vein does not collapse as it should, indicated a deep vein thrombosis within its walls. Veins should collapse before arteries under pressure as they have much thinner walls. Sukh Singh, MD

Source

https://www.thepocusatlas.com/dvt


Metadata