Vascular - Post Arterial Catheterization Complication

← Back to List

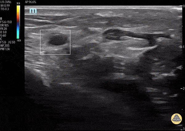
Vascular - Post Arterial Catheterization Complication

Caption

A middle aged male with history of hypercoagulability and recent cardiac catheterization utilizing radial artery access, presented with right arm pain, numbness and tingling. POCUS revealed a complete occlusion of the distal right radial artery. The patient was started on anticoagulation therapy initially, with plan for potential thrombectomy with interventional radiology Kathrin Parisi, MS-IV; Courtney Hollingsworth, MD; Therese Mead, DO, RDMS, FACEP; Matt French, DO - Central Michigan University

Source

https://www.thepocusatlas.com/dvt


Metadata