Bowel-GI - Incarcerated Hernia with SBO

← Back to List

Bowel-GI - Incarcerated Hernia with SBO

Caption

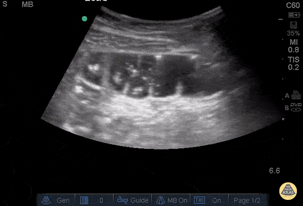
29 yo F with known hernia p/w sudden onset abdominal pain 2hrs ago. Given a concern for an incarcerated hernia, POCUS was done showing the incarcerated loop of bowel (hypoechoic structure on the left), as well as evidence of an SBO. In addition to a dilated loop (+LR of 15 for 3 loops >2.5cm), the hyperechoic lines along the bowel represent valvulae conniventes which are suggestive of an obstructed loop of jejunum. Patient happened to be pregnant (17wks, FHR and motion also confirmed by POCUS), but was taken emergently to the OR for open repair with mesh and was discharged the next day. Bryan Jarrett, MD - SUNY Downstate/Kings County

Source

https://www.thepocusatlas.com/bowel


Metadata