Vascular - DVT Left Common Femoral Vein

← Back to List

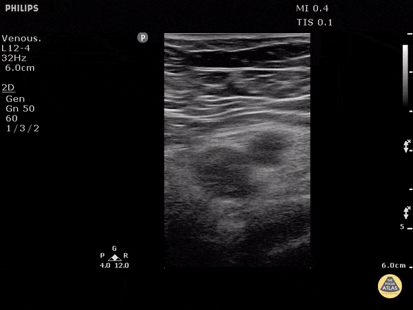
Vascular - DVT Left Common Femoral Vein

Caption

Patient with pain and swelling of the entire left lower extremity. Three point POCUS carries a sensitivity of 95% and specificity of 96% for detecting DVT when performed by emergency physicians. Mild external rotation of the hip can help open up the inguinal crease to find the femoral vein. The POCUS should be performed 1-2cm distal to the bifurcation of the common femoral for a complete study. Dr. Justin Bowra et al.

Source

https://www.thepocusatlas.com/dvt


Metadata