Vascular - DVT - Popliteal

← Back to List

Vascular - DVT - Popliteal

Caption

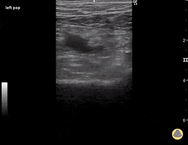
When pressure is applied to the ultrasound probe over blood vessels, veins usually collapse before arteries because of their much thinner walls. In this clip, enough pressure was applied to the ultrasound probe to partially collapse the popliteal artery, which is the pulsatile vessel visualized. Despite such high pressure, the popliteal vein remains fully patent, indicating a deep vein thrombosis within its walls. Sukh Singh, MD

Source

https://www.thepocusatlas.com/dvt


Metadata