Vascular - DVT of Left Common Femoral Vein

← Back to List

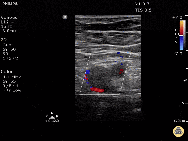
Vascular - DVT of Left Common Femoral Vein

Caption

Patient with profound rapid onset lower extremity pain and swelling. POCUS can be used to rapidly assess for DVT with as high as 95% sensitivity and 96% specificity amongst ED providers. In this image the artery can be seen as the pulsating thick walled vessel with strong pulsations under color doppler. The vein is the large vessel with echogenic material with flow only around the edge of the clot. Inability to compress the vessel would confirm the diagnosis of DVT (not pictured). Dr. Justin Bowra et al.

Source

https://www.thepocusatlas.com/dvt


Metadata