Vascular - Pseudoaneurysm

← Back to List

Vascular - Pseudoaneurysm

Caption

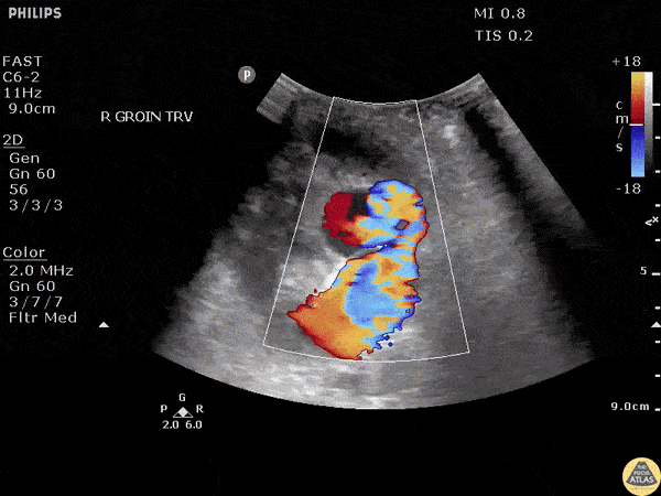
POCUS of a suspected abscess revealed a pseudoaneurysm of the femoral artery. Note the “Pepsi sign” on color doppler made by the turbulence of the blood entering the pseudoaneurym. Image courtesy of Robert Jones DO, FACEP @RJonesSonoEM Director, Emergency Ultrasound; MetroHealth Medical Center; Professor, Case Western Reserve Medical School, Cleveland, OH View his original post here

Source

https://www.thepocusatlas.com/dvt


Metadata