Vascular - Venous Valves

← Back to List

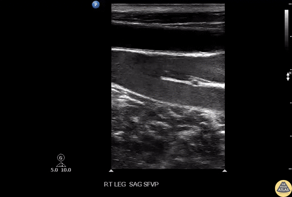
Vascular - Venous Valves

Caption

Seen here is healthy appearing venous system with effectively functioning valves. Important distinction between the arterial and venous systems. Image courtesy of Robert Jones DO, FACEP @RJonesSonoEM Director, Emergency Ultrasound; MetroHealth Medical Center; Professor, Case Western Reserve Medical School, Cleveland, OH View his original post here

Source

https://www.thepocusatlas.com/dvt


Metadata