Vascular - Spontaneous Echo Contrast

← Back to List

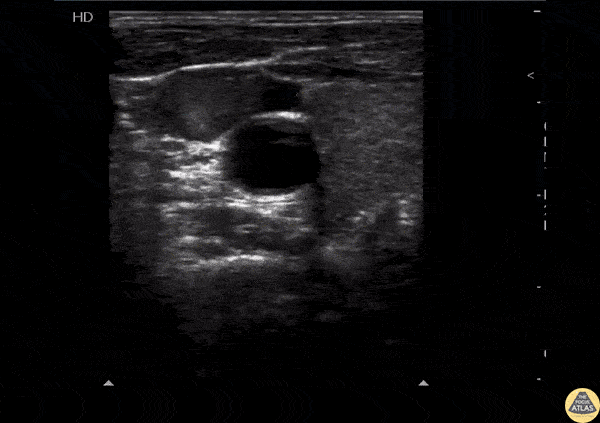
Vascular - Spontaneous Echo Contrast

Caption

This clip shows spontaneous echo contrast (SEC) in the IJV. This finding is indicative of blood stasis and may be a precursor to thrombus formation. Image courtesy of Robert Jones DO, FACEP @RJonesSonoEM Director, Emergency Ultrasound; MetroHealth Medical Center; Professor, Case Western Reserve Medical School, Cleveland, OH View his original post here

Source

https://www.thepocusatlas.com/dvt


Metadata