Bowel-GI - Small Bowel Obstruction

← Back to List

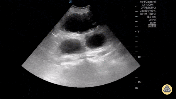
Bowel-GI - Small Bowel Obstruction

Caption

Visualized here are dilated loops of bowel as a result of SBO. One can see hyperechoic fecal material moving to and fro due to blocked peristalsis, visible plicae circularis (folds of small bowel mucus membrane that increase surface area for absorption) also known as the "piano sign," and abdominal free fluid between loops known as "tanga sign." Sukh Singh, MD

Source

https://www.thepocusatlas.com/bowel


Metadata