Blog - The Altered Infant - Should we POCUS an open fontanelle? A case of Hydrocephalus

← Back to List

Blog - The Altered Infant - Should we POCUS an open fontanelle? A case of Hydrocephalus

Caption

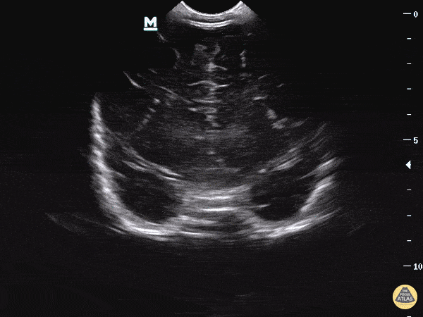
Clip 3: The coronal plane has the indicator marker to the right and is placed on the anterior fontanelle. The ultrasound beam is swept from the anterior to posterior aspect of the head.

Source

https://www.thepocusatlas.com/new-blog/pedshydrocephalus


Metadata