Vascular - IVC Thrombus

← Back to List

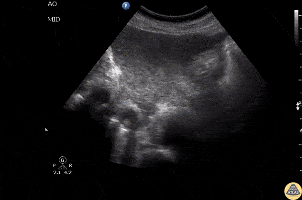
Vascular - IVC Thrombus

Caption

This patient presented with bilateral LE swelling and negative DVT scans. Doppler waveform showed results concerning for proximal obstruction. Transverse abdominal scan shows a thrombus within the inferior vena cava. Image courtesy of Robert Jones DO, FACEP @RJonesSonoEM Director, Emergency Ultrasound; MetroHealth Medical Center; Professor, Case Western Reserve Medical School, Cleveland, OH View his original post here

Source

https://www.thepocusatlas.com/dvt


Metadata