Vascular - Great Saphenous Thrombosis

← Back to List

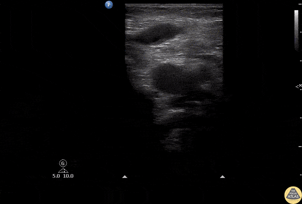
Vascular - Great Saphenous Thrombosis

Caption

POCUS of a patient with unilateral leg swelling and redness revealed thrombosis of the great saphenous vein seen as an isoechoic structure within the lumen. No DVT was noted in this patient. Image courtesy of Robert Jones DO, FACEP @RJonesSonoEM Director, Emergency Ultrasound; MetroHealth Medical Center; Professor, Case Western Reserve Medical School, Cleveland, OH View his original post here

Source

https://www.thepocusatlas.com/dvt


Metadata